Quand est enceinte de 4 semaines - vous sentez-vous? Que ressent la future maman? Il y a déjà beaucoup de questions en ce moment. Après tout, tôt chaque jour est important.

Calculs par différentes méthodes
Lorsque les médecins travaillent avec des patientes enceintes, ils n'entrent pas dans les détails de l'ovulation et le jour de la conception. L'âge gestationnel sera calculé par la méthode obstétricale: à partir du premier jour de la dernière menstruation.
La méthode embryonnaire considère la période de l'ovulation présumée et les «retards» de deux semaines par rapport à la période obstétricale.
Parfois, les femmes considèrent la période à partir du moment du retard. Ensuite, la quatrième semaine signifiera la huitième obstétrique ou sixième fœtale. Facile à confondre? Ensuite, il vaut mieux adhérer à un point de vue médical. Après tout, la future mère devra communiquer assez souvent avec les médecins.
Détails sur les dates: comment lire les termes correctement.
Taille fœtale: plus d'une cellule
Dès que le sperme féconde l'ovule, la division rapide du zygote commence. Si vous y réfléchissez, c'est un miracle. Une seule cellule en forme de nombreuses autres. Ils sont complètement différents et leurs rôles sont différents. Et chaque cellule «sait» où elle se trouve et quoi faire.
S'il y a une 4ème semaine d'obstétrique, alors il est trop tôt pour parler du fœtus. Le zygote passe progressivement au stade de l'embryon. L'enfant à naître est maintenant un bloc de cellules presque invisible, que les scientifiques appellent morula. Au microscope, il ressemblera à une baie recouverte de «boutons». Si la consolidation de la morula dans la cavité utérine ne s'est pas encore produite, elle aura certainement lieu. Et puis la vraie magie cellulaire commence.
Comment l'embryon est-il arrangé?

La taille du futur fœtus au cours de la 4e semaine d'obstétrique est comparable à la «graine de pavot». Son poids est d'environ 0,5 g et sa hauteur de 0,36 à 1 mm. Cependant, ce sont des données littéralement momentanées. L'embryon augmente rapidement en raison d'une division cellulaire constante.
La structure de l'embryon

Les médecins utilisent souvent le concept du disque germinal, qui forme la feuille germinale. Ce sont des couches spéciales de cellules:
- la couche interne (endoderme) donnera naissance au tube digestif, au foie et aux poumons, ainsi qu'au pancréas;
- la couche intermédiaire (mésoderme) est constituée des futurs reins, muscles, cœur et vaisseaux sanguins, ainsi que du squelette du bébé;
- la couche externe (ectoderme) est responsable de la formation du système nerveux, de la tête (y compris les yeux, les dents et les cheveux), ainsi que de la peau.
Organes germinatifs supplémentaires
Le miracle de la nature réside également dans le fait qu'une seule cellule fécondée, lorsqu'elle est divisée, fournit au bébé tout ce dont il a besoin. Y compris les repas complets. Cela se fait par les soi-disant organes extra-germes. Il y en a trois:
- chorion: une sorte de sac poilu qui devient plus tard un placenta;
- amnion est la future vessie fœtale, le «conditionnement» solide du fœtus;
- sac vitellin - approvisionnement alimentaire pour l'embryon.
Le dernier organe extra-germinal est particulièrement important. C'est son dysfonctionnement ou sa pathologie qui peut conduire à une fausse couche. Selon l'état du sac vitellin, un spécialiste en échographie recevra des données importantes sur la grossesse et l'embryon.
Les scientifiques ont établi un fait curieux: les gènes embryonnaires mâles sont principalement «responsables» des organes germinatifs externes. Nous pouvons dire que la fonction du soutien de famille et du protecteur se situe au plus profond de l'être humain.
Future maman
Au cours de la quatrième semaine d'obstétrique, une femme peut encore ne rien savoir. Le développement actif du zygote dans le corps féminin peut soit donner les premiers signes de grossesse, soit ne pas affecter du tout l'état de la future mère.
Ressentir
Si une femme prévoit une grossesse, elle est pleine d'attentes. La question principale maintenant: cela a-t-il fonctionné ou non? La 4e semaine d'obstétrique, les sentiments de la mère sont plus émotifs.
Physiquement, une femme peut ressentir un léger malaise. Il peut y avoir une légère faiblesse, une gêne à peine perceptible dans le bas-ventre, une somnolence. Une condition similaire est presque la même en début de grossesse et à la veille des menstruations.
Mais la sensibilité du sein et des mamelons peut augmenter considérablement. Les glandes mammaires gonflent parfois dès les premiers jours après la conception. De plus, à la fin de la quatrième semaine, la future mère pourrait bien avoir le premier signes de toxicose précoce. Dans ce cas, quelqu'un videra simplement le réfrigérateur et quelqu'un courra au magasin pour quelque chose de «savoureux», spécial. Ce pourrait être l'inverse: la nausée viendra et vous ne voudrez plus manger du tout.
Changements externes
Même au cours de la quatrième semaine, la taille des femmes peut augmenter de 1 à 2 cm. Si tous les vêtements sont bien ajustés, la femme le remarquera. L'essentiel est de réagir correctement. Si une grossesse n'est pas prévue, la future mère peut ne pas reconnaître son état. Elle se précipitera ensuite au gymnase ou chez un nutritionniste. C'est pourquoi il est important de vous protéger qualitativement. Et si la grossesse est autorisée, vous devez être prudent. Ensuite, même des symptômes mineurs donneront le bon indice.
[sc: rsa]
La future femme peut être légèrement «lourde». La prise de poids aux premiers stades s'explique, comme beaucoup plus, par les changements hormonaux. En combinaison avec une toxicose précoce, elle entraîne parfois une légère perte de poids. Si la future maman se sent bien en même temps, ne vous inquiétez pas.
Écoulement vaginal
Avec le cours normal de la grossesse, la prochaine menstruation ne viendra pas. Si pour une raison quelconque, le zygote ne peut pas prendre pied dans l'utérus, les menstruations viendront. Dans ce cas, ils ne parlent pas de fausse couche. Souvent, les femmes ne savent même pas qu'elles pourraient devenir de futures mères.
Saignement d'implantation - Il s'agit d'un écoulement sanglant ou brun très mineur. Un ou deux frottis sont possibles lorsque l'embryon est fixé dans la cavité utérine.
Le corps féminin utilise des sécrétions muqueuses pour créer un bouchon de protection spécial. Elle obstrue littéralement le col de l'utérus et sort normale avant l'accouchement.
Une femme devra être examinée si l'écoulement muqueux est inhabituel.:
- avec une odeur désagréable;
- Jaune;
- trop abondant;
- épais et blanc;
- ressemblent à des flocons de fromage cottage.
Façons de confirmer la grossesse
Quand la future femme sera-t-elle convaincue de sa nouvelle condition? Combien de temps devrez-vous attendre pour obtenir le résultat le plus correct? Tout dépend de la méthode.
Test de pharmacie: sera-t-il visible ou non?
Certains tests modernes, même avant le retard, sont capables de reconnaître une grossesse.Par conséquent, si l'âge gestationnel est de 4 semaines, le test peut être appliqué s'il n'y a pas de patience. Néanmoins, il vaut mieux attendre le premier jour de la période prévue. Le résultat sera plus fiable.
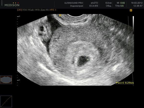
Échographie
Au début de la quatrième semaine d'obstétrique, il est peu probable que l'étude soit utile. Mais au final, un bon spécialiste verra déjà quelque chose sur un équipement de qualité. Ce sera l'utérus avec une couche épaisse de l'endomètre et l'embryon - un petit point noir. Si une femme a déjà eu une grossesse extra-utérine, un médecin spécialiste vérifiera certainement l'ensemble du système féminin.
Test sanguin HCG
Le niveau de gonadotrophine chorionique humaine (hCG) augmente pendant la grossesse. Par conséquent, un test sanguin à la fin de la 4e semaine aidera à confirmer que la conception a réussi.
Visite chez le médecin: est-il temps ou puis-je attendre?
Les femmes modernes sont souvent très occupées. Le travail, la vie de famille et les loisirs prennent beaucoup de temps. Mais maintenant, la future femme devra s'occuper de deux à la fois.
Au cours de la quatrième semaine d'obstétrique, il est trop tôt pour s'inscrire. La grossesse elle-même peut ne pas encore être confirmée. Mais si vous avez déjà un résultat positif, vous pouvez opter pour une consultation. Que va faire le médecin?
- Elle examinera la femme et évaluera extérieurement son état général.
- Collecte les données primaires.
- Prescrire un complexe de vitamines approprié et des préparations d'acide folique.
Si la conception a été planifiée et maintenue sous la supervision de médecins, une femme consultera tout de même son médecin. Le médecin confirmera une conception réussie et prescrira des mesures pour maintenir la grossesse. Ceci est particulièrement important si le patient a déjà fait des fausses couches.
Ce qu'il faut chercher
Il est tout simplement incroyable de voir combien d'aspects de la vie devront être évalués différemment lors de la grossesse. Les recommandations spéciales pour les femmes enceintes devraient commencer à adhérer le plus tôt possible. Si cela ne s'est pas produit avant la 4e semaine, il est temps de faire très attention.
Nutrition
Complétude et équilibre: ce sont les principales exigences. Les jours de jeûne sont désormais révolus. Et il est également conseillé d'abandonner les aliments en conserve, les plats cuisinés et les fast-foods.

Lors de la préparation de plats de viande, il est important de surveiller le manque de graisse. Le poisson, en revanche, peut être consommé en variétés grasses. Y a-t-il une contradiction ici? En fait - non. Le poisson gras contient de nombreux acides organiques utiles, qui sont complètement absents dans la graisse animale. Il convient de noter: nous ne parlons pas de friture dans l'huile. Seules quelques espèces de poissons vivent dans les mers et les océans froids, donc pour leur propre chaleur, elles acquièrent une couche de graisse. Les plus connus sont le saumon, la truite et le saumon.
Si vous voulez des bonbons, il vaut mieux avoir des guimauves ou des guimauves que du chocolat ou du gâteau.
Les légumes et les fruits sont des éléments indispensables d'un «régime enceinte». Ils peuvent être consommés frais, bouillis ou mijotés. Plus les céréales et les produits laitiers.
Les femmes enceintes demandent souvent: quoi, maintenant rien du tout "tel" n'est possible? Et si vous voulez vraiment, à la tête légère, vous voulez un sprat, une compote de piment ou des frites? Si vous abordez les problèmes de régime strictement, alors il n'y a qu'une seule réponse: oui, rien de «tel» n'est vraiment possible. Mais si une sorte de nourriture, même «mauvaise», aidera la future mère à faire face aux nausées ou à se réconforter, alors pourquoi pas? Seule la consommation d'aliments indésirables est meilleure dans les microdoses. «Étirez» un paquet de chips pendant une semaine, et la nourriture en conserve n'est pas une cuillère à soupe directement de la boîte.
L'intoxication alimentaire est dangereuse pour le bébé à naître. Par conséquent, il est très important de sécuriser votre alimentation à la 4ème semaine de grossesse. Pas besoin d'essayer des plats et des produits exotiques pour le moment. Le corps peut ne pas les accepter et répondre à un trouble gastro-intestinal. Et non seulement la femme enceinte va souffrir, mais aussi l'embryon. À l'heure actuelle, il est très instable à toute influence négative.
Protection contre les facteurs nuisibles
Le corps de la future femme peut être très vulnérable. Certains mécanismes de protection au cours de la 4e semaine d'obstétrique ne sont pas encore formés. Il est donc très important:
- arrêter de fumer et rester à l'écart des fumeurs;
- garder soigneusement pendant la période d'épidémie d'infections virales;
- surveillez votre humeur et ne laissez entrer dans votre vie que des émotions positives;
- Évitez les changements climatiques brusques.
Mesures supplémentaires
Les vergetures peuvent sérieusement gâcher à la fois l'apparence de la peau et l'humeur d'une femme. L'huile d'olive est l'une des mesures de protection cutanée. Il est recommandé de le frotter dans les zones à problèmes avant que le ventre ne commence à se développer.
Grossesse et sexe
À la 4e semaine d'obstétrique, le couple peut ne pas encore savoir que quelqu'un d'autre est déjà né. Par conséquent, la vie intime des futurs parents se déroule comme d'habitude. Certaines femmes après la proximité ressentent une lourdeur désagréable dans les lèvres.
Si la conception est planifiée et réalisée sous la supervision d'un médecin, il peut conseiller de faire une pause dans la vie sexuelle. Ceci est particulièrement important si une femme a déjà fait des fausses couches. Dans de rares cas, les contractions utérines pendant l'orgasme peuvent empêcher l'embryon de prendre pleinement pied dans la cavité utérine.
Dans tous les autres cas, en bonne santé, le couple n'a aucun obstacle au sexe. Il y a un point psychologique. Peut-être qu'avec le temps, les sensations intimes de la future femme changeront. Elle peut se sentir mal à l'aise, mal à l'aise ou tout simplement avoir peur lorsqu'elle a de l'intimité avec son homme bien-aimé. Il est fortement conseillé d'avertir le partenaire à ce sujet. Le futur père doit être prêt et patient. À la moindre négativité d'une vie intime, une femme ne peut pas être enfermée en elle-même, considérer le sexe comme un devoir et un devoir. Le père de l'enfant ressentira probablement la tension. Sans connaître la véritable cause, des problèmes dans la vie de famille sont possibles. Et par conséquent - l'amour mutuel, le respect, l'attention et la franchise sont particulièrement importants maintenant.
Avortement
Au cours de la quatrième semaine d'obstétrique, le concept de fausse couche est rarement utilisé. Dans la plupart des cas, une femme n'a pas le temps de confirmer avec précision la grossesse ou même de réaliser pleinement son état. Par conséquent, pour beaucoup, les saignements avec fausse couche sont égaux à mensuels.
Certains symptômes peuvent indiquer une interruption possible.
- Ça fait mal et tire l'estomac. C'est de la douleur, pas un léger inconfort.
- Le saignement est abondant, parfois avec des caillots.
- L'écoulement sanguin est brun.
Mais même tous ces symptômes ne signalent pas toujours qu'une fausse couche ou avortement spontané.
L'interruption de grossesse peut être intentionnelle. Chaque femme a le droit de le faire. Cependant, la décision doit être responsable. Rien ne peut être fait dans un état de dépression nerveuse, de peur ou de vengeance. La médecine moderne essaie d'épargner les femmes en toutes circonstances. Mais personne n'a encore annulé les conséquences physiques et psychologiques néfastes de l'avortement.
Total 4e semaine
- La quatrième semaine d'obstétrique peut être le moment de confirmer la grossesse.
- L'embryon ne se divise pas seulement, mais la distribution fonctionnelle des cellules.
- Les premiers signes et symptômes de grossesse à peine perceptibles apparaissent.
Le mode de vie d'une femme enceinte au cours de la quatrième semaine déterminera en grande partie le développement ultérieur d'une petite créature - le futur bébé.





S'il n'y avait pas eu la toxicose sévère qui a commencé en moi, je n'aurais pas compris que j'étais enceinte parce que je me sentais bien sauf le matin .. Quand je ne pouvais rien manger du tout ..
Le fait que j'étais enceinte, je l'ai découvert grâce à un test acheté dans une pharmacie. Puis elle est allée chez le médecin, elle a fixé le délai à seulement 4 semaines. Je me sentais bien.
Je n'oublierai jamais cette période, car c'est durant cette période que je me suis sentie pire .. Je ne pouvais pas supporter l'odeur des oignons, de l'ail. Je n'ai pas mangé grand-chose ... Mais ensuite tout s'est envolé et la grossesse est devenue une joie pour moi.